Стрес переломи – окрема досить непередбачувана категорія переломів, найчастіше зустрічається у спортсменів та людей, що ведуть активний спосіб життя Пацієнти з болями в пахвинній ділянці повинні бути обстежені на наявність у них стресового
Відділення травматології та ортопедії дорослих
Стрес переломи – окрема досить непередбачувана категорія переломів, найчастіше зустрічається у спортсменів та людей, що ведуть активний спосіб життя Пацієнти з болями в пахвинній ділянці повинні бути обстежені на наявність у них стресового
Хибний суглоб, досить неприємна патологія, здатна спричинити чимало проблем як дорослій людині, так і дитині. З плином часу відламки стають гладкими, покриваються хрящовою тканиною і капсулою, що нагадує суглобову. Подібна патологія в медицині
Переважна більшість травматичних пошкоджень і дегенеративно-дистрофічних захворювань тканин колінного суглоба без адекватного лікувань і консультації фахівця рано чи пізно призводять до необхідності ендопротезування (повної або часткової заміни) колінного суглоба. Не просто так у
О-подібне викривлення ніг – стан, коли коліна розвернуті назовні та утворюють “колесо”, при зведених разом стопах Використовуючи наукову термінологію цей патологічний стан називають варусною деформацією нижніх кінцівок (латиною – genu vara, де varus
Частина перша. Інтрамедулярний остеосинтез вертлюгових переломів стегнової кісткиПроблема лікування постраждалих з вертлюговими переломами стегнової кістки є актуальною, що зумовлено високоенергетичною травмою у молодих працездатних пацієнтів (ДТП, падіння з висоти, бойова травма тощо), а
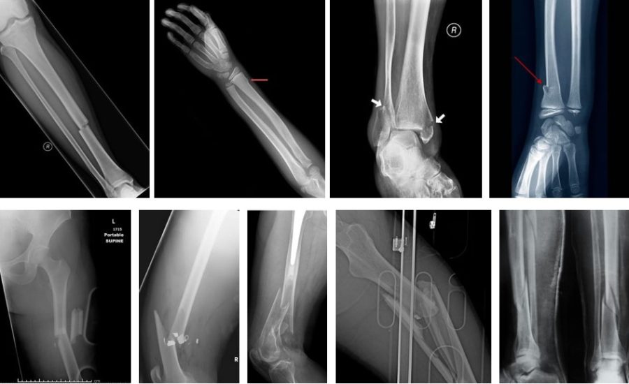
У даному матеріалі ми хочемо зробити невеликий огляд сучасних накісткових та внутрішньокісткових імплантатів – пластин та стержнів, які використовуються при фіксації переломів довгих трубчастих кісток кінцівок, як то: плечової кістки, кісток передпліччя, стегна